برخی داروها باعث نقص مینای دندان کودکان می‌شوند

صدا و سیما دوشنبه 10 بهمن 1401 - 14:03
براساس پژوهش محققان، دارو‌های ضدالتهاب رایجی که برای کودکان تجویز می‌شود، احتمالاً با نقص مینای دندان‌ها (DEDs) مرتبط است.

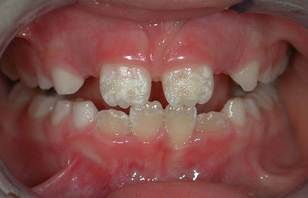
حاج آقایی// برخی داروها باعث نقص مینای دندان کودکان می‌شوندبه گزارش خبرگزاری صدا و سیما؛ حدود ۲۰ درصد از کودکان در سراسر جهان دچار این نقایص هستند که تأثیر چشمگیری بر سلامت و ظاهر دندان آن‌ها دارد. نقص مینای دندان‌ها نوعی ناهنجاری است که بر ساختار و یکپارچگی مینا (لایه بیرونی سخت و محافظ دندان) تأثیر می‌گذارد. این نقص ممکن است مادرزادی یا اکتسابی باشد. نقص مینای دندان با ضعف یا گچی بودن مینا و کم بودن ضخامت یا کیفیت آن مشخص می‌شود.
محققان دانشکده دندانپزشکی ریبرآ پرتو (Ribeirão Preto) و دانشکده علوم دارویی دانشگاه سائوپائولو در برزیل در پژوهش خود، تأثیر سلکوکسیب و ایندومتاسین (دو داروی ضدالتهابی غیراستروئیدی) همراه با پاراستامول (استامینوفن) را بررسی کردند.
در سال‌های اخیر، دندانپزشکان متوجه افزایش شدید تعداد کودکانی شده اند که به دنبال درمان درد، لکه‌های سفید یا زرد روی دندان‌ها، حساسیت دندانی و... هستند. آن‌ها دریافتند در برخی موارد، جویدن ساده باعث شکستگی دندان‌های کودکان می‌شود. همه این مشکلات علایم معمول نوعی نقص مینای دندان است که به‌عنوان هیپومینرالیزاسیون مینای دندان شناخته می‌شود و دلیل ایجاد آن به‌خوبی شناخته نشده است.
کسانی که دچار این اختلال هستند، زودتر و بیشتر دچار پوسیدگی دندان می‌شوند و احتمال شکستن دندان‌های آن‌ها بیشتر است. پژوهش‌ها نشان داده‌اند که ممکن است آن‌ها ۱۰ برابر بیشتر از افراد دارای دندان‌های سالم در طول زندگی خود مجبور به ترمیم دندان‌هایشان شوند.
بنا بر اعلام وبگاه سای‌تِک‌دِیلی، محققان در بررسی‌های خود، متوجه تغییراتی در پروتئین‌های لازم برای کانی‌سازی و تمایز سلولی شدند که نشان می‌دهد این دارو‌ها واقعاً بر ترکیب مینای دندان‌ها تأثیر گذاشته‌اند.

منبع خبر "صدا و سیما" است و موتور جستجوگر خبر تیترآنلاین در قبال محتوای آن هیچ مسئولیتی ندارد. (ادامه)
با استناد به ماده ۷۴ قانون تجارت الکترونیک مصوب ۱۳۸۲/۱۰/۱۷ مجلس شورای اسلامی و با عنایت به اینکه سایت تیترآنلاین مصداق بستر مبادلات الکترونیکی متنی، صوتی و تصویری است، مسئولیت نقض حقوق تصریح شده مولفان از قبیل تکثیر، اجرا و توزیع و یا هرگونه محتوای خلاف قوانین کشور ایران بر عهده منبع خبر و کاربران است.